Center of Excellence in Pain and Regenerative Medicine - Farmington, CT Office

Smile Gallery

Creating Smiles that Last

At Center of Excellence in Pain & Regenerative Medicine we are dedicated to creating lasting smiles through comprehensive care using the latest technology. We proudly offer personalized, patient-driven care focused on the health, beauty, and functionality of your teeth. Please browse our smile gallery below and contact us to schedule a smile consultation today.

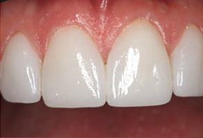
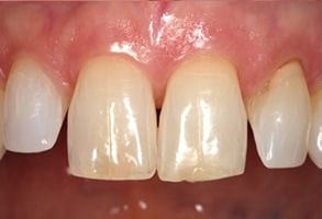
Center of Excellence in Pain   Regenerative Medicine | Air Abrasion, Veneers and Dental Fillings
Center of Excellence in Pain   Regenerative Medicine | O-shot, P-shot and PRP Injection for Joint Pain

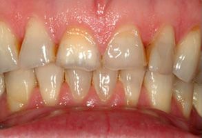
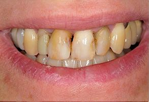
Before

Center of Excellence in Pain   Regenerative Medicine | O-shot, P-shot and Mesenchymal Stem Cells  MSCs

After

Center of Excellence in Pain   Regenerative Medicine | Interventional Pain Management, P-shot and High-Performance Medicine

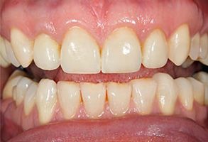
Before

Center of Excellence in Pain   Regenerative Medicine | O-shot, PRP for Hair Loss and High-Performance Medicine

After

Center of Excellence in Pain   Regenerative Medicine | Mesenchymal Stem Cells  MSCs , PRP for Hair Loss and PRP Injection for Joint Pain

Before

Center of Excellence in Pain   Regenerative Medicine | Interventional Pain Management, PRP for Hair Loss and PRP Injection for Joint Pain

After

Center of Excellence in Pain   Regenerative Medicine | P-shot, O-shot and Interventional Pain Management

Before

Center of Excellence in Pain   Regenerative Medicine | PRP for Hair Loss, PRP Injection for Joint Pain and Vampire Facial and Facelift

After

Center of Excellence in Pain   Regenerative Medicine | Vampire Facial and Facelift, Interventional Pain Management and PRP Injection for Joint Pain

Before

Center of Excellence in Pain   Regenerative Medicine | High-Performance Medicine, PRP for Hair Loss and Interventional Pain Management

After

Center of Excellence in Pain   Regenerative Medicine | High-Performance Medicine, O-shot and PRP Injection for Joint Pain

Before

Center of Excellence in Pain   Regenerative Medicine | O-shot, PRP Injection for Joint Pain and Mesenchymal Stem Cells  MSCs

After

Center of Excellence in Pain   Regenerative Medicine | P-shot, PRP Injection for Joint Pain and PRP for Hair Loss

Before

Center of Excellence in Pain   Regenerative Medicine | Interventional Pain Management, O-shot and High-Performance Medicine

After

Center of Excellence in Pain   Regenerative Medicine | Interventional Pain Management, PRP for Hair Loss and PRP Injection for Joint Pain

Services

Learn More

About Us

Learn More

Contact

Start Today

Contact Info

55 South Rd
Suite 120
Farmington, CT 06032
1234 Summer Street
Suite 500
Stamford, CT 06905

Office Hours

Monday
9:00 am - 4:00 pm
Tuesday
9:00 am - 4:00 pm
Wednesday
9:00 am - 4:00 pm
Thursday
9:00 am - 4:00 pm
Friday
Closed
Saturday
Closed
Sunday
Closed

This site is not intended as a substitute for professional medical advice, diagnosis, or treatment. The content of this website, including texts, graphics, images, and information, is for informational purposes only. The information on this website should be verified with other sources and your licensed healthcare provider regarding any medical condition or treatment.

As with all medical procedures, our Procedures have a success and failure rate. The testimonials on this site are based on real-life experiences and opinions of patients. We do not claim or imply that our treatments work for everyone on this site based on patient reviews and testimonials. All users won't have the same experience, and you shouldn't assume that they will. Medical procedures can be successful and unsuccessful, so your results may vary. Therefore, testimonials on the site should not be construed as guarantees of treatment success.